bebi Šela

Přidat foto

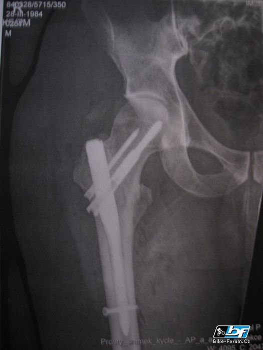
tak jsem blbě spad s kola a udělalo se bebi :o)

(vloženo 19.5.10)

Komentáře

Pro zobrazení diskuse se prosím přihlaste nebo zaregistrujte.
zrawch0023
zrawch0023

2.6.10 17:06

Tyhle ocelový doplňky se mi vůbec, ale vůbec nelíbí.. Taky mam doma podobnou sbírku šroubků z ušlechtilého ko­vu..

Reagovat
Papaja
Papaja

20.5.10 14:40

ono to není zase tak jednoduchý byla tam na praxi, dodělavá si gakalaře a je to ještě v Olomouci :o(

Reagovat
treatt
treatt

20.5.10 10:57

Ups, tak dobrou rekonvalescenci! A jasný, vem nějakou jednoduchou kytku, třeba slunečnici a kvapem za sestrou ;)

Reagovat
LIO
LIO

19.5.10 22:00

Papaja–tak popadni kytici a utíkej do nemocnice(kyti dělá zázraky) ;)))

Reagovat
Papaja
Papaja

19.5.10 19:02

taktéž ať se nám to hojíííí :o)

Reagovat
Majkrosoft
Majkrosoft

19.5.10 18:44

mam to samé v holeni :o přeju brzké uzdravení

Reagovat
Papaja
Papaja

19.5.10 18:21

tak to je víc než jasné ale nejvíce mě bolí to že jsem si nevzal telechoní číslo na sestřičku která mě naučila tak pěkně chodit o berlích :o(

Reagovat
Kimlo
Kimlo

19.5.10 18:07

au… tak nech mozes co najskor znova bajkovat!!!!

Reagovat
Zdenda CUBE
Zdenda CUBE

19.5.10 17:53

Mám stejné, jen ten implantát ve stehení kosti mám až ke kolenu. Přeju co nejrychlejší rehabilitaci a dobré zhojení !!

Reagovat
HROOLI
HROOLI

19.5.10 17:37

Tak hodně zdaru při lléčbě..

Reagovat
Papaja
Papaja

19.5.10 17:31

sice to bylo po startu ale na dlouhé

Reagovat
HROOLI
HROOLI

19.5.10 17:28

To bylo po tom startu na krátké ?

Reagovat

Další galerie z kategorie

michal1968 75
chemik 10
vik 31
Láža1 16
kocers 56
Tommy_Lee 6